Ir al contenido principal

El contenido del post se ha ocultado

Para desbloquear el contenido, haz clic aquí

Julia
Novia Máster Mayo 2018 Madrid

Método Ramzi

Julia, el 13 de Abril de 2022 a las 16:01 Publicado en el Grupo Futuras Mamás 10 731

Método Ramzi 1
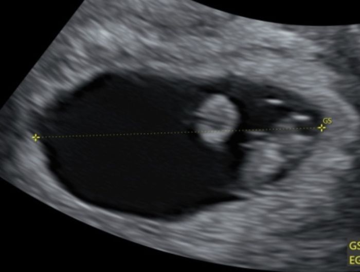
Hola! Quería preguntaros si entendéis el método Ramzi si sabéis que puede ser. Os lo agradecería muchísimo. Es una ecografía de 7 semanas

731 Respuestas

Última actividad por Andrea, el 20 de Marzo de 2026 a las 16:59
  • Andrea
    Novia Novata Mayo 2023 Madrid
    Andrea ·
    • Denunciar
    • Ocultar contenido
    Hola. Sabrías decirme en esta transvaginal de 6+2 si es niño o niña? Gracias Smiley smileMétodo Ramzi 2

    • Responder
  • Patricia
    Novia Máster Julio 2024 Madrid
    Patricia ·
    • Denunciar
    • Ocultar contenido
    Ver mensaje citado
    Si??? Yo es que lo veo justo a la inversa que mis dos embarazos y fueron nenes
    • Responder
  • Maria
    Novia Experta Septiembre 2023 Barcelona
    Maria ·
    • Denunciar
    • Ocultar contenido
    Ver mensaje citado
    Yo diría niño! Ya nos confirmarás 😊
    • Responder
  • Patricia
    Novia Máster Julio 2024 Madrid
    Patricia ·
    • Denunciar
    • Ocultar contenido
    Hola chicas, mi bebé arcoiris… mi eco de hoy via vaginal. En verdad me da igual el sexo, solo quiero que venga san@ pero me da curiosidad el metodo jejej
    Método Ramzi 3


    • Responder
  • Melody
    Súper Novia Octubre 2019 Alicante
    Melody ·
    • Denunciar
    • Ocultar contenido
    Ver mensaje citado
    🤣si yo también lo creo
    • Responder
  • M
    Novia Adicta Abril 2019 Madrid
    Mibebearcoiris2022 ·
    • Denunciar
    • Ocultar contenido
    Ver mensaje citado
    Claramente niña! Con esas semanas si fuera niño ya asomaria por ahí algo😂
    • Responder
  • Ss
    Novia Curiosa diciembre 2025 Madrid
    Ss ·
    • Denunciar
    • Ocultar contenido
    Ver mensaje citado
    Yo digo niña!
    • Responder
  • Melody
    Súper Novia Octubre 2019 Alicante
    Melody ·
    • Denunciar
    • Ocultar contenido
    Hola chicas, que me diríais..? Es una eco donde se aprecian los genitales 15+4Método Ramzi 4

    • Responder
  • Ilusionada
    Novia VIP Mayo 2013 Ciudad Real
    Ilusionada ·
    • Denunciar
    • Ocultar contenido
    Hola! Me ayudáis por favor? Niño o niña? Es una eco en papel. Gracias!!!Método Ramzi 5

    • Responder
  • Maria
    Novia Experta Septiembre 2023 Barcelona
    Maria ·
    • Denunciar
    • Ocultar contenido
    Ver mensaje citado
    Niña diría yo 😊
    • Responder
  • A
    Novia Habitual Junio 2022 Navarra
    Andrea ·
    • Denunciar
    • Ocultar contenido
    Chicaaaaas! Eco de 12+5, que os parece?
    Método Ramzi 6


    • Responder
  • Deutzia
    Madrid
    Deutzia ·
    • Denunciar
    • Ocultar contenido
    Ver mensaje citado
    Ahí va!! Confirmadísimo no? Estaba convencida q x el método era nena, bueno q venga sanito q es lo q importa.
    • Responder
  • Susana
    Novia Habitual Julio 2024 Madrid
    Susana ·
    • Denunciar
    • Ocultar contenido
    Ver mensaje citado

    Finalmente fue un chico! La pobre, tercer chico que tiene.. pero bueno, cosas que pasan! 🤗

    • Responder
  • Lala
    Novia Adicta Julio 2020 Barcelona
    Lala ·
    • Denunciar
    • Ocultar contenido
    Ver mensaje citado
    Pues será mi segunda nena, a ver que dicen más adelante!
    Muchas gracias!
    • Responder
  • V
    Novia Curiosa Septiembre 2019 Madrid
    Valen ·
    • Denunciar
    • Ocultar contenido
    Ver mensaje citado
    Muchas gracias!!!
    • Responder
  • Deutzia
    Madrid
    Deutzia ·
    • Denunciar
    • Ocultar contenido
    Ver mensaje citado
    X el método es nena, se ve el cordón x encima de la cabecita 😂
    • Responder
  • Deutzia
    Madrid
    Deutzia ·
    • Denunciar
    • Ocultar contenido
    Ver mensaje citado
    Pues nena!!
    • Responder
  • Deutzia
    Madrid
    Deutzia ·
    • Denunciar
    • Ocultar contenido
    Ver mensaje citado
    De nada 🤞
    • Responder
  • Sara
    Novia Experta Abril 2016 Murcia
    Sara ·
    • Denunciar
    • Ocultar contenido
    Ver mensaje citado
    Ay que no lo había visto, muchas gracias!!!! Ojalá y se cumpla lo que dices, ni hija quiere una hermanita. Muchísimas gracias
    • Responder
  • V
    Novia Curiosa Septiembre 2019 Madrid
    Valen ·
    • Denunciar
    • Ocultar contenido
    Hola, es una eco transvaginal de 7+3, según el método que sería?
    Graciaass!!!Método Ramzi 7


    • Responder
  • Lala
    Novia Adicta Julio 2020 Barcelona
    Lala ·
    • Denunciar
    • Ocultar contenido
    Hola! A ver si por la eco sabéis qué puede ser. Es una eco transvaginal de 9+2. Está del revés porque me dijo que estaba con la cabeza hacia abajo. Graciaas!Método Ramzi 8

    • Responder
  • A
    Novia Habitual Junio 2022 Navarra
    Andrea ·
    • Denunciar
    • Ocultar contenido
    Ver mensaje citado
    Gracias guapa!! 🤗
    • Responder
  • Sara
    Novia Adicta Julio 2023 Jaén
    Sara ·
    • Denunciar
    • Ocultar contenido
    Ver mensaje citado
    Muchas gracias 😊
    • Responder
  • Deutzia
    Madrid
    Deutzia ·
    • Denunciar
    • Ocultar contenido
    Ver mensaje citado
    Niña creo !!
    • Responder
  • Sara
    Novia Adicta Julio 2023 Jaén
    Sara ·
    • Denunciar
    • Ocultar contenido
    Hola Deutzia! Me podrías decir qué crees que es? Esta eco me la hice cuando estaba de ocho semanas y es transvaginal ☺️Método Ramzi 9

    • Responder
  • Deutzia
    Madrid
    Deutzia ·
    • Denunciar
    • Ocultar contenido
    Ver mensaje citado
    Diría niño, lo mismo q te hubiera dicho en la primera eco xq sigo pensando q la ecografía estaba del revés 🙃
    • Responder
  • A
    Novia Habitual Junio 2022 Navarra
    Andrea ·
    • Denunciar
    • Ocultar contenido
    Hola Deutzia!!! Te dejo eco de 8 semanas, creo que aquí se aprecia mejor
    Método Ramzi 10
    🤗
    • Responder
  • Deutzia
    Madrid
    Deutzia ·
    • Denunciar
    • Ocultar contenido
    Ver mensaje citado
    Pues a ver, no se ve todo el saco gestacional pero x lo q veo y sobre todo x la pista q nos da el bebé yo diría q es niño.
    • Responder
  • P
    Novia Curiosa Septiembre 2020 Madrid
    Paula ·
    • Denunciar
    • Ocultar contenido
    Ver mensaje citado
    Hola Deutzia, tengo la otra ecografia que no veías bien donde esta la placenta,cuando pueda me dices!!muchas gracias por todo y feliz año!!!!Método Ramzi 11

    • Responder
  • A
    Novia Habitual Junio 2022 Navarra
    Andrea ·
    • Denunciar
    • Ocultar contenido
    Ver mensaje citado
    Yo pensaba que el círculo de abajo era la cabeza y no, es el saco vitelino y lo que sale con una raya para medirlo, el embrión. Y yo curiosa, le pregunté en qué lado estaba el saco gestacional y me dijo que en el lado izquierdo!
    • Responder
  • Deutzia
    Madrid
    Deutzia ·
    • Denunciar
    • Ocultar contenido
    Ver mensaje citado
    No me cuadra mucho 🤣🤣 pero si es así como dices según el método sería nena!!
    • Responder
  • A
    Novia Habitual Junio 2022 Navarra
    Andrea ·
    • Denunciar
    • Ocultar contenido
    Ver mensaje citado
    Holaaa! Pues la foto es tal cual el monitor 😂 me dijo que la cabeza es la parte de arriba
    • Responder

Elegiste . Escribe un comentario y añade más detalles a tu elección 👇

×

Grupos generales

Inspiración